Farmacología

Reingreso y muerte después del alta hospitalaria inicial en pacientes con COVID-19

16 diciembre 2020

En esta cohorte nacional de pacientes de Veterans Affairs, el 27% de los supervivientes de hospitalización por COVID-19 fueron reingresados o murieron 60 días después del alta, y esta tasa fue menor que la de los supervivientes de neumonía o insuficiencia cardíaca emparejados. Sin embargo, las tasas de reingreso o muerte fueron más altas que las de neumonía o insuficiencia cardíaca durante los primeros 10 días después del alta tras la hospitalización por COVID-19, lo que sugiere un período de mayor riesgo de deterioro clínico. JAMA, 14 de diciembre de 2020

Evaluación de las vacunas contra covid-19: las preguntas para formular

16 diciembre 2020

Noviembre de 2020 ha sido testigo de una catarata de comunicados de prensa que anuncian vacunas efectivas y aparentemente relativamente seguras contra el covid-19. Sin embargo, como no se han publicado resultados detallados, es imposible evaluar la calidad y relevancia de estas afirmaciones. Cuando finalmente tengamos algo más que titulares para continuar, ¿qué preguntas será necesario hacer sobre estos ensayos clínicos? Las respuestas ayudarán a determinar la utilidad de estas vacunas y definir la estrategia de vacunación, teniendo en cuenta los intereses de los vacunados y de la sociedad en su conjunto. Prescrire Int., 20 de noviembre 2020

Síntomas COVID-19: evolución  y persistencia en pacientes ambulatorios. “COVID prolongado”

15 diciembre 2020

El estudio muestra la persistencia de los síntomas en un tercio de los pacientes ambulatorios 30 a 45 días después del diagnóstico. La fatiga, la disnea y la pérdida del gusto u olfato fueron los principales síntomas persistentes.  Así se  muestra que los pacientes con COVID-19 desarrollan una variedad de síntomas que evolucionan con el tiempo. Reconocer la persistencia de los síntomas podría legitimar las preocupaciones de los pacientes ante una enfermedad nueva y desconocida. La comunicación adecuada puede ofrecer tranquilidad, reducir la ansiedad y optimizar la recuperación. Ann Intern Med, 8 de diciembre de 2020

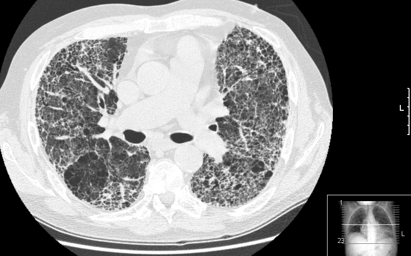
Eficacia de los antibióticos preventivos en la fibrosis pulmonar idiopática

14 diciembre 2020

En pacientes con formas moderadas a graves de la enfermedad, el tratamiento con cotrimoxazol oral no redujo un resultado combinado de mortalidad, trasplante u hospitalización no selectiva en comparación con placebo. JAMA, 8 de diciembre de 2020.

CDC: Resumen de la guía para las estrategias de salud pública para abordar los altos niveles de transmisión comunitaria del SARS-CoV-2 y muertes relacionadas, diciembre de 2020

11 diciembre 2020

En combinación, las estrategias propuestas pueden reducir la transmisión del SARS-CoV-2, las secuelas o la discapacidad a largo plazo y la muerte, y mitigar el impacto económico de la pandemia. La implementación constante de estas estrategias mejora la equidad en la salud, preserva la capacidad de atención médica, mantiene la función de negocios esenciales y respalda la disponibilidad de instrucción en persona para las escuelas de jardín de infantes a grado 12 y preescolar. Las personas, los hogares y las comunidades deben tomar estas medidas ahora para reducir la transmisión del SARS-CoV-2 de su nivel alto actual. Estas acciones proporcionarán un puente hacia un futuro con amplia disponibilidad y alta cobertura comunitaria de vacunas efectivas, cuando sea posible el regreso seguro a las actividades más cotidianas en una variedad de entornos. MMWR Morb Mortal Wkly Rep , 11 de diciembre de 2020 (4/12 online)

Categorias

Etiquetas