Farmacología

Accidente cerebrovascular isquémico en mujeres con fibrilación auricular: tendencias temporales e implicaciones clínicas

04 junio 2024

La asociación entre el sexo femenino y la tasa de accidente cerebrovascular isquémico (ACVi) ha disminuido y se ha vuelto no significativa en el transcurso del período de estudio de 2007 a 2018, lo que sugiere que el sexo femenino podría omitirse como un factor al estimar las tasas esperadas de ACVi y la necesidad de terapia con anticoagulantes orales en los pacientes con fibrilación auricular. European Heart Journal, 21 de mayo de 2024

Asociación entre la exposición a antibióticos durante el embarazo o la primera infancia y el riesgo de trastorno del neurodesarrollo

27 mayo 2024

En este gran estudio de cohorte, la exposición a antibióticos durante el embarazo o la primera infancia no se asoció con un mayor riesgo de trastorno del espectro autista, trastorno intelectual o trastorno del lenguaje en los niños. Sin embargo, se observaron riesgos elevados en varios subgrupos, como los niños que usaron antibióticos durante las primeras etapas de su vida y aquellos con uso de antibióticos a largo plazo, lo que merece atención e investigación adicional. BMJ, 22 de mayo de 2024.

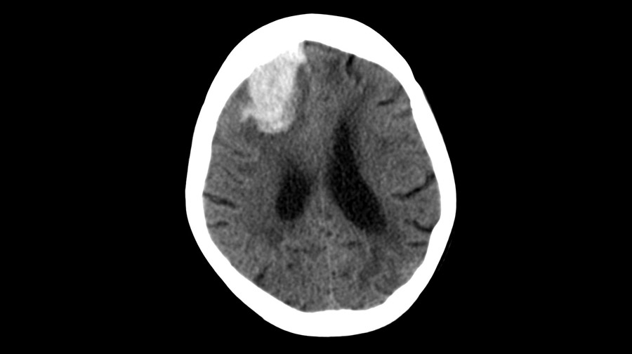
Trombectomía para el accidente cerebrovascular con infarto grande

09 mayo 2024

En pacientes con accidente cerebrovascular agudo y un infarto grande de tamaño no restringido, la trombectomía más atención médica produjo mejores resultados funcionales y una menor mortalidad que la atención médica sola, pero con una mayor incidencia de hemorragia intracerebral sintomática. New England Journal of Medicine, 8 de mayo de 2024.

Múltiples resultados adversos asociados con el uso de antipsicóticos en personas con demencia

18 abril 2024

En este estudio de cohorte emparejado de base poblacional, el uso de antipsicóticos en comparación con su no uso en adultos con demencia se asoció con mayores riesgos de accidente cerebrovascular, tromboembolismo venoso, infarto de miocardio, insuficiencia cardíaca, fractura, neumonía y lesión renal aguda, pero no con arritmia ventricular. La gama de resultados adversos fue más amplia de lo que se había destacado anteriormente en las alertas regulatorias, y los riesgos más altos se presentaron poco después del inicio del tratamiento. BMJ, 17 de abril de 2024

Eliminación temprana mínimamente invasiva de hemorragia intracerebral

11 abril 2024

En los pacientes en quienes la cirugía se pudo realizar dentro de las 24 horas posteriores a una hemorragia intracerebral aguda, la evacuación mínimamente invasiva del hematoma produjo mejores resultados funcionales a los 180 días que el  tratamiento médico basado en guías. El efecto de la cirugía parece atribuirse a la intervención de las hemorragias lobares. New England Journal of Medicine, 10 de abril de 2024.

Categorias

Etiquetas