Farmacología

Agonistas del receptor de GLP-1 e incidencia de diferentes tipos de cáncer asociado con la obesidad en pacientes con diabetes tipo 2

08 julio 2024

Este estudio de cohorte de más de 1,6 millones de pacientes con diabetes tipo 2 que no tenían un diagnóstico previo de cáncer encontró que los pacientes ratados con agonistas del receptor de GLP-1 tenían una reducción significativa del riesgo en 10 de 13 cánceres en comparación con los tratados con insulina, incluidos el cáncer esofágico, colorrectal, endometrial, de vesícula biliar, de riñón, hepático, de ovario y páncreas, así como meningioma y mieloma múltiple. No se encontró ninguna disminución en el riesgo de cáncer cuando se comparaban los AR-GLP-1   con el tratamiento con metformina. JAMA Network Open, 5 de julio de 2024.

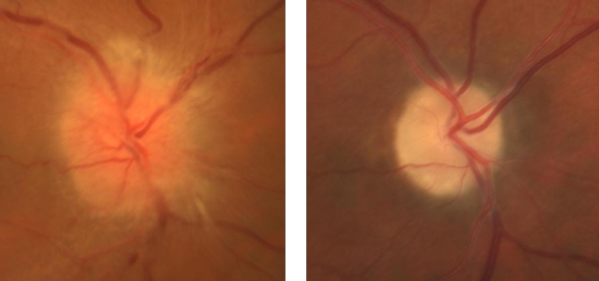
Riesgo de neuropatía oftálmica isquémica anterior no arterítica en pacientes que reciben semaglutida

08 julio 2024

Este estudio de cohorte reveló un mayor riesgo de neuropatía óptica isquémica anterior no arterítica en pacientes a los que se les prescribió semaglutida en comparación con los pacientes a los que se les recetaron otros medicamentos para la diabetes o la obesidad. Se requieren con urgencia nuevos estudios para ver si se replican estos resultados y evaluar la causalidad. JAMA Ophthalmology, 3 de julio de 2024.

Uso de multivitamínicos y riesgo de mortalidad en tres cohortes prospectivas de EE. UU.

02 julio 2024

Basándose en 3 grandes cohortes que incluían 390 124 participantes y más de 20 años de datos de seguimiento, este estudio investigó la asociación entre el uso de multivitamínicos y la mortalidad, al tiempo que controlaba cuidadosamente los posibles factores de confusión. Confirmando los resultados mayoritariamente negativos de estudios anteriores, la suplementación con multivitamínicos no se asoció con un beneficio en la mortalidad. Por el contrario, el riesgo de mortalidad fue un 4% mayor entre los usuarios de multivitamínicos, en comparación con los no usuarios, en los primeros años de seguimiento (CRI, 1,04; IC del 95%, 1,02-1,07) . JAMA Netw Open, 26 de junio de 2024

Salud ósea frente a la pérdida de peso: comparación entre ejercicio solo, tratamiento con agonistas del receptor GLP-1 o tratamiento combinado

01 julio 2024

En este ensayo clínico aleatorizado, la combinación de ejercicio y GLP-1RA (liraglutida) fue la estrategia de pérdida de peso más eficaz y al mismo tiempo preservaba la salud ósea. El tratamiento con liraglutida solo redujo la DMO en sitios clínicamente relevantes más que el ejercicio solo a pesar de una pérdida de peso similar. JAMA Network Open, 25 de junio de 2024.

Un complemento alimentario dirigido a la microbiota mejoró el crecimiento lineal en niños de 12 a 18 meses

07 junio 2024

El tratamiento de niños con desnutrición aguda moderada con un complemento alimentario dirigido a la microbiota no sólo produjo mejoras significativas durante la intervención -en comparación con el suplemento alimentario estándar- sino que también redujo el retraso del crecimiento durante el seguimiento de dos años. Estos resultados sugieren que la eficacia de los alimentos complementarios para la desnutrición puede mejorarse al incluir ingredientes que fomenten el desarrollo de una microbiota saludable. eBioMedicine, 3 de junio de 2024

Categorias

Etiquetas