Farmacología

Medicamentos para la obesidad  revisión

25 julio 2024

La obesidad se asocia con una mayor morbilidad. Los medicamentos contra la obesidad son una terapia complementaria eficaz a los cambios en el estilo de vida para mejorar la pérdida de peso y los resultados de salud. JAMA.  22 de julio de 2024

Cirugía metabólica bariátrica versus agonistas del receptor de GLP-1 y mortalidad

22 julio 2024

En este estudio de cohorte, la cirugía bariátrica se asoció con una mayor reducción de la mortalidad en comparación con los agonistas del receptor de GLP-1 de primera generación en las personas con diabetes de hasta 10 años de duración, mediada por una mayor pérdida de peso. No se observaron diferencias en el riesgo de mortalidad entre las modalidades de tratamiento entre los individuos con una diabetes de mayor duración, ni en la aparición de eventos cardiovasculares no letales en el total de pacientes. JAMA Network Open, junio de 2024.

La desnutrición como factor de riesgo de la tuberculosis

11 julio 2024

La desnutrición probablemente duplica el riesgo de tuberculosis a corto plazo (< 10 años) y también podría aumentar el riesgo a largo plazo (> 10 años). Las políticas dirigidas a reducir la carga de la desnutrición no solo son necesarias para aliviar el sufrimiento humano debido a la desnutrición y sus muchas consecuencias adversas, sino que también son una parte importante de las medidas esenciales para acabar con la epidemia de tuberculosis para 2030. Se necesitan grandes cohortes poblacionales, incluidas las derivadas de registros nacionales de alta calidad de exposiciones (desnutrición) y desenlaces (enfermedad por TB), para proporcionar estimaciones de alta certeza de este riesgo en diferentes entornos y poblaciones, incluidos los países de ingresos bajos y medios de diferentes regiones de la OMS. Además, los estudios que incluyan a niños y adolescentes y métodos más avanzados para diagnosticar la tuberculosis proporcionarían información más actualizada y relevante para la política y la práctica. Cochrane Database Syst Rev. 11 de junio de 2024

Agonistas del receptor de GLP-1 e incidencia de diferentes tipos de cáncer asociado con la obesidad en pacientes con diabetes tipo 2

08 julio 2024

Este estudio de cohorte de más de 1,6 millones de pacientes con diabetes tipo 2 que no tenían un diagnóstico previo de cáncer encontró que los pacientes ratados con agonistas del receptor de GLP-1 tenían una reducción significativa del riesgo en 10 de 13 cánceres en comparación con los tratados con insulina, incluidos el cáncer esofágico, colorrectal, endometrial, de vesícula biliar, de riñón, hepático, de ovario y páncreas, así como meningioma y mieloma múltiple. No se encontró ninguna disminución en el riesgo de cáncer cuando se comparaban los AR-GLP-1   con el tratamiento con metformina. JAMA Network Open, 5 de julio de 2024.

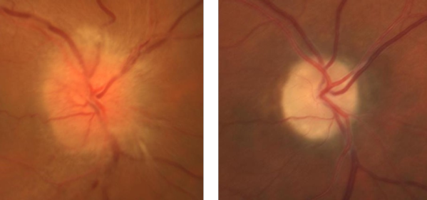
Riesgo de neuropatía oftálmica isquémica anterior no arterítica en pacientes que reciben semaglutida

08 julio 2024

Este estudio de cohorte reveló un mayor riesgo de neuropatía óptica isquémica anterior no arterítica en pacientes a los que se les prescribió semaglutida en comparación con los pacientes a los que se les recetaron otros medicamentos para la diabetes o la obesidad. Se requieren con urgencia nuevos estudios para ver si se replican estos resultados y evaluar la causalidad. JAMA Ophthalmology, 3 de julio de 2024.

Categorias

Etiquetas