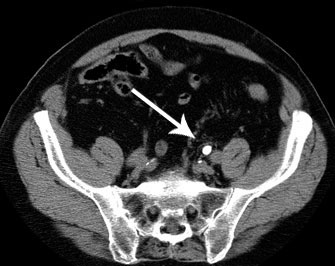
Farmacología

Tamsulosina en el cólico ureteral

20 septiembre 2016

La revisión muestra que favorece la eliminación de cálculos de entre 5 y 10 mm de diámetro. Annals of Emergency Medicine, 8 de septiembre de 2016

Infarto de miocardio: las tasas en los varones duplican a las de las mujeres

20 septiembre 2016

La menor incidencia en mujeres persiste toda la vida y no se explica por la diferencia en otros factores de riesgo cardiovascular. JAMA Internal Medicine, 12 de septiembre de 2016

Preocupación por la exposición de embarazadas y niños a neurotoxinas

19 septiembre 2016

Un conjunto de organizaciones hacen un llamado a investigar, monitorizar y reducir la exposición del niño a sustancias químicas con posible daño neurológico. JAMA. Publicado en Internet el 14 de septiembre de 2016.

Categorias

Etiquetas