Farmacología

Disminución de la presión arterial y prevención de la demencia

27 octubre 2022

Este metanálisis de datos de pacientes individuales de una sola etapa de ensayos clínicos aleatorizados, doble ciego y controlados con placebo proporciona evidencia para respaldar los beneficios del tratamiento antihipertensivo en la vejez media y avanzada para reducir el riesgo de demencia. Quedan dudas sobre el potencial de una reducción adicional de la PA en aquellos con hipertensión ya bien controlada y del tratamiento antihipertensivo iniciado más temprano en el curso de la vida para reducir el riesgo a largo plazo de demencia.  European Heart Journal, 25 de octubre de 2022

Tendencias en la asociación entre diabetes y eventos cardiovasculares, 1994-2019

21 octubre 2022

En este gran estudio poblacional, la magnitud de la asociación entre la diabetes y el riesgo de eventos cardiovasculares disminuyó, mientras que la relación entre la ECV y dichos eventos se mantuvo estable. Estos resultados sugieren que la diabetes sigue siendo un factor de riesgo cardiovascular importante, pero ya no es equivalente a la ECV, un cambio que probablemente refleja el uso de enfoques multifactoriales modernos para la diabetes. Las limitaciones incluyen la falta de datos sobre cambios en ciertos factores de riesgo (p. ej., presión arterial), factores de protección (p. ej., estatinas) y mortalidad por causas específicas; cambiar las prácticas de vigilancia que afectan las tasas de clasificación errónea de la diabetes; y posibles factores de confusión residuales. Una mejor prevención y un control óptimo de la diabetes y las enfermedades cardiovasculares siguen siendo esenciales. JAMA.  14 de octbre de 2022.

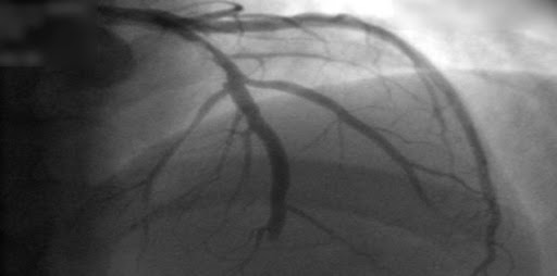
Estudios coronarios en la cardiopatía isquémica estable: ¿TC o cateterismo?

20 octubre 2022

Este estudio no encontró diferencia entre mujeres y varones en el beneficio del uso de la tomografía computarizada (TC) en lugar de la angiografía coronaria invasiva como prueba diagnóstica inicial para el manejo del dolor torácico estable en pacientes con una probabilidad previa a la prueba intermedia de enfermedad arterial coronaria. La TC inicial se asoció con menos complicaciones importantes relacionadas con el procedimiento en las mujeres y una frecuencia más baja del compuesto MACE expandido en los hombres.British Medical Journal, 19 de octubre de 2022.

Riesgo de eventos adversos con liraglutida en insuficiencia cardíaca con fracción de eyección reducida

18 octubre 2022

En este  análisis post hoc del ensayo FIGHT  se observó que en pacientes con insuficiencia cardiaca con fracción de eyección reducida, la liraglutida podría aumentar el riesgo de efectos adversos cardiovasculares, un efecto posiblemente impulsado por el exceso de riesgo de arritmias y el empeoramiento de los eventos de insuficiencia cardiaca. Como se trata de un análisis post hoc, estos resultados deben interpretarse como exploratorios y generadores de hipótesis. Se deben realizar ensayos controlados aleatorizados adicionales antes de establecer conclusiones definitivas. Diabetes Obes Metab., 9 septiembre 2022

Evaluación del perfil metabólico y prevalencia de enfermedad cardiovascular en los ex combatientes de la Guerra de Malvinas

18 octubre 2022

La participación en un conflicto bélico puede traer importantes consecuencias en la salud a largo plazo. Se ha informado que los veteranos de guerra están más expuestos a factores de riesgo cardiovascular. Estos parámetros han sido poco validados en los excombatientes de la guerra de Malvinas. La principal contribución del presente artículo es demostrar un aumento en la prevalencia de factores de riesgo (obesidad, hipertensión arterial, dislipidemia y diabetes), síndrome metabólico y antecedentes de infarto agudo de miocardio entre los excombatientes. Esta población mostró un riesgo cardiovascular incrementado, que requiere medidas acordes de prevención. MEDICINA (Buenos Aires) 2022

Categorias

Etiquetas