Farmacología

Eficacia y seguridad de los tratamientos de la osteoporosis postmenopáusica

02 mayo 2023

Esta revisión sistemática mostró beneficio de una variedad de tratamientos para la osteoporosis en mujeres posmenopáusicas, con reducción de fracturas clínicas y vertebrales. Los tratamientos anabólicos óseos fueron más efectivos que los bisfosfonatos en la prevención de fracturas clínicas y vertebrales, independientemente de los indicadores de riesgo basales, por lo que se considera que no hay evidencias para  restringir el uso del tratamiento anabólico a pacientes con un riesgo muy alto de fracturas. Sinembargo, la certeza en las estimaciones del efecto fue de moderada a baja para todos los resultados individuales, lo que indica un riesgo grave de sesgo e imprecisión. BMJ, 2 de mayo de 2023.

El efecto de la suplementación mensual de vitamina D en las fracturas

03 abril 2023

En un ensayo clínico con más de 20.000 adultos de 60 a 89 años, el agregado de una dosis mensual de 60.000 UI de vitamina D durante 5 años no redujo la incidencia de fracturas totales ni las de cadera en comparación con el placebo. The Lancet Diabetes & Endocrinology, 31 de marzo de 2023.

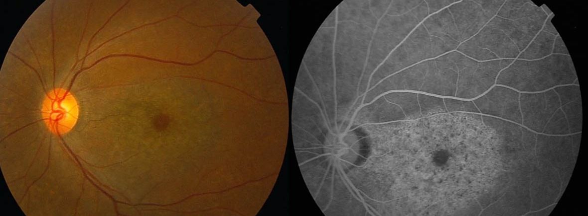
Riesgo de retinopatía con el uso crónico de hidroxicloroquina

17 enero 2023

La hidroxicloroquina se indica en forma crónica en pacientes con lupus eritematoso sistémico y otras afecciones inflamatorias. En esta gran cohorte contemporánea con vigilancia activa para la detección de retinopatía se encontró que el riesgo fue del 8,6 % después de 15 años, y la mayoría de los casos fueron leves. La dosis más alta de hidroxicloroquina se asoció con un riesgo progresivamente mayor de retinopatía incidente. Annals of Internal Medicine, 17 de enero de 2023.

Diagnóstico de enfermedades autoinmunes luego del Covid-19

10 enero 2023

En este estudio de cohorte retrospectiva se halló que el Covid-19 está asociado con diversos grados de riesgo a la aparición posterior de varias enfermedades autoinmunes. Dado el gran tamaño de la muestra y los efectos relativamente modestos, estos hallazgos deberían replicarse en un conjunto de datos independiente. Se necesita más investigación para comprender mejor los mecanismos subyacentes. eClinicalMedicine, 9 de enero de 2023.

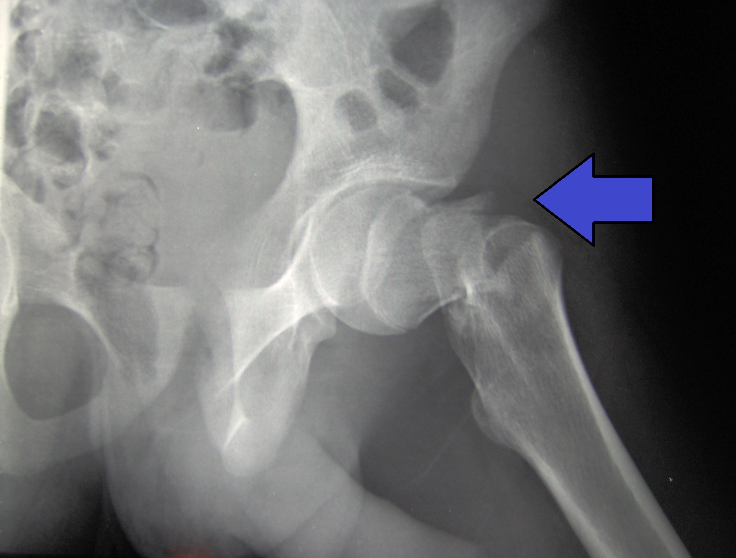
Actualización de las recomendaciones del ACP sobre el tratamiento de la osteoporosis

03 enero 2023

El American College of Physicians (ACP) ha publicado una revisión de su guía de 2017 sobre el tratamiento de la osteoporosis primaria o de la baja masa ósea en adultos de ambos sexos. El uso de bifosfonatos en mujeres postmenopáusicas es la única recomendación fuerte, con certeza de evidencia alta, para tratar la osteoporosis primaria. En contraste, la indicación de bifosfonatos en hombres o de denosumab, romosozumab o teriparatida, son todas recomendaciones condicionales. Finalmente, se sugiere un enfoque personalizado para decidir el uso de bifosfonatos en mujeres mayores de 65 años con osteopenia. Annals of Internal Medicine, 3 de enero de 2023.

Categorias

Etiquetas