Farmacología

Trastuzumab para el cáncer de mama y cardiotoxicidad: esfuerzos de prevención

30 noviembre 2016

El uso de bloqueadores beta o de inhibidores de la enzima de conversión de angiotensina no logró evitar el remodelado cardiovascular, pero protegió contra la reducción de la función ventricular asociada al fármaco. Journal of Clinical Oncology, 28 de noviembre de 2016

Claritromicina / Clobetasol / Donepezilo: nuevas advertencias de seguridad en el Reino Unido

30 noviembre 2016

Claritromicina: no usar en terapia doble para H. pylori / Clobetasol: precaución en niños por supresión adrenal / Donepezilo: rabdomiólisis; sialorrea. emc, 28 de noviembre de 2016

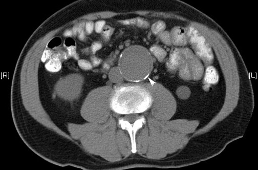
Aneurismas de aorta abdominal: más cirugías y menos mortalidad en EEUU

29 noviembre 2016

La tasa de cirugías para reparación electiva del aneurisma abdominal en EEUU duplica la de Inglaterra, pero la mortalidad por rotura aneurismática es tres veces menor. New England Journal of Medicine, 24 de noviembre de 2016

Estatinas en prevención primaria: no hay acuerdo en las recomendaciones

29 noviembre 2016

Las guías de práctica actualizadas difieren en sus conclusiones; los pacientes necesitan mejores herramientas para navegar entre consejos divergentes. BMJ, 24 de noviembre de 2016

Suplementos dietéticos y de hierbas: atención con las interacciones

29 noviembre 2016

Los pacientes internados utilizan con frecuencia suplementos que pueden causar interacciones riesgosas con los medicamentos o entre sí. British Journal of Clinical Pharmacology, 25 de noviembre de 2016

Categorias

Etiquetas