Farmacología

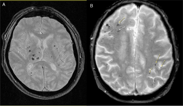
Enfermedad de los vasos cerebrales pequeños en la mediana edad y función cognitiva en etapas posteriores de la vida

20 enero 2025

La presencia de enfermedad de vasos cerebrales pequeños en la resonancia magnética de adultos asintomáticos se asoció de manera independiente con un deterioro del funcionamiento ejecutivo durante un período de seguimiento de 8 años en esta población general coreana de edad mediana a avanzada. The Lancet Regional Health Western Pacific, febrero de 2025.

Detección de Helicobacter pylori para prevenir el cáncer gástrico

16 enero 2025

En un ensayo clínico aleatorizado que incluyó a 152.503 personas, no hubo diferencias significativas en la incidencia de cáncer gástrico o mortalidad por cáncer gástrico entre las personas invitadas a una prueba de detección con antígeno fecal de H pylori asociada al rastreo de cáncer de colon con una prueba inmunológica fecal (FIT), en comparación con la prueba FIT sola (0,032% frente a 0,037%, respectivamente, para la incidencia de cáncer gástrico y 0,015% frente a 0,013%, respectivamente, para la mortalidad por cáncer gástrico). JAMA, septiembre de 2024.

Clortalidona vs. hidroclorotiazida y resultados renales en pacientes con hipertensión

16 enero 2025

En este análisis secundario de un ensayo clínico aleatorizado que incluyó a más de 12.000 pacientes de 65 años o más con hipertensión, la clortalidona no fue superior a la hidroclorotiazida en la prevención de problemas renales. La incidencia de eventos de hipocalemia fue mayor en el grupo de clortalidona. JAMA Network Open, diciembre de 2024.

Eficacia de dolutegravir más lamivudina en personas con VIH que no han recibido tratamiento y no disponen de pruebas basales de resistencia a fármacos

16 enero 2025

Este estudio respalda la no inferioridad de dolutegravir más lamivudina en comparación con un régimen preferido de tres fármacos en individuos sin tratamiento previo y sin estudios de resistencia al inicio del tratamiento. Estos hallazgos sugieren que las pruebas de resistencia inicial podrían no ser un requisito para iniciar el tratamiento con dolutegravir más lamivudina en entornos con baja frecuencia o sospecha de resistencia transmitida a estos fármacos. The Lancet HIV, 15 de enero de 2025.

Prevención de fracturas con zoledronato de uso poco frecuente en mujeres de 50 a 60 años de edad

16 enero 2025

Este ensayo clínico aletaorizado comparó el uso de dos aplicaciones de 5 mg de zoledronato IV separadas por 5 años, o una de zoledronato seguida de una de placebo, o ambas de placebo, en mujeres de 50 a 60 años con un valor de t en la densitometría ósea basal entre 0 y -2.5, en al menos una localización. Al cabo de 10 años de seguimiento total, los grupos tratados  con una o dos aplicaciones de zoledronato redujeron las fracturas morfométricas en un 41% y 44% respectivamente, en comparación con el de doble placebo. New England Journal of Medicine, 15 de enero de 2025.

Categorias

Etiquetas