Farmacología

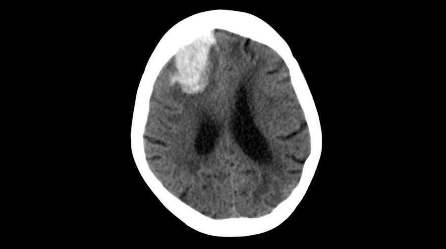
Eliminación temprana mínimamente invasiva de hemorragia intracerebral

11 abril 2024

En los pacientes en quienes la cirugía se pudo realizar dentro de las 24 horas posteriores a una hemorragia intracerebral aguda, la evacuación mínimamente invasiva del hematoma produjo mejores resultados funcionales a los 180 días que el  tratamiento médico basado en guías. El efecto de la cirugía parece atribuirse a la intervención de las hemorragias lobares. New England Journal of Medicine, 10 de abril de 2024.

Evaluación de la frecuencia y características de las reacciones de hipersensibilidad a medicamentos en niños hospitalizados: estudio de cohorte de la vida real

11 abril 2024

La incidencia de sospecha de las reacciones de hipersensibilidad a medicamentos (RHM) entre pacientes pediátricos hospitalizados fue aproximadamente del 1,1%. Los síntomas cutáneos fueron la manifestación más común. El veinticuatro por ciento de los medicamentos sospechosos podrían continuarse durante la hospitalización. Los pacientes con RHM durante la hospitalización deben ser evaluados con un estudio de alergia a medicamentos, a menos que existan contraindicaciones para la prueba. World Allergy Organ J.  6 de abril de 2024

Intervención multicomponentepara reducir el uso excesivo de inhibidores de la bomba de protones en un sistema de salud

11 abril 2024

Una intervención farmacéutica multicomponente sobre el uso excesivo de IBP se asoció con una reducción del uso en pacientes sin indicación de IBP pero también en aquellos para quienes eran apropiados, aunque sin evidencia de daños o de beneficios clínicamente significativos. Hay que garantizar que los esfuerzos de eliminación de los IBP sean altamente eficaces pero también se centren en los pacientes adecuados. British Medical Journal, 11 de abril de 2024.

Efecto de las estrategias de cambio de comportamiento intrapersonal e interpersonal sobre la actividad física entre adultos mayores.

10 abril 2024

En este ensayo clínico aleatorizado, los adultos mayores con niveles bajos de actividad física (AF),  que recibieron estrategias de cambio de comportamiento (ECC)  interpersonales, el programa de ejercicio y un monitor de AF mostraron aumentos significativos en su AF hasta 12 meses después de la intervención. Los ECC intrapersonales no provocaron cambios significativos en la PA y no interactuaron con los ECC interpersonales. Nuestros hallazgos sugieren que debido a que los efectos de una intervención de AF en los aumentos sostenidos de la AF de los adultos mayores aumentaron con ECC interpersonales pero no intrapersonales, se deben considerar enfoques para difundir e implementar la intervención. JAMA Netw Open, 29 de febrero de 2024

Tratamiento transcatéter o quirúrgico de la estenosis de la válvula aórtica

10 abril 2024

En los pacientes con estenosis aórtica grave y riesgo quirúrgico bajo o intermedio, la implantación transcatéter de válvula aórtica (TAVI) no fue inferior al reemplazo quirúrgico (SAVR) con respecto a la muerte por cualquier causa o accidente cerebrovascular al año. New England Journal of Medicine, 9 de abril de 2024.

Categorias

Etiquetas