Farmacología

Incidencia y prevalencia del uso de inhibidores de la bomba de protones entre pacientes de medicina interna después del ingreso hospitalario

21 diciembre 2023

En este estudio de cohorte retrospectivo, uno de cada seis pacientes ingresados ​​en salas de medicina interna rellenó una receta de inhibidores de la bomba de protones (IBP) en los tres meses siguientes al alta, y una gran proporción de ellos se convirtieron en usuarios persistentes. La alta tasa de nuevos usuarios de IBP en oncología y hematología es digna de mención y requiere más investigación. Eur J Clin Pharmacol, 18 diciembre 2023

Gestión posconsumo de medicamentos en Argentina: escenario local frente al contexto internacional

21 diciembre 2023

Los resultados obtenidos en este trabajo permiten detectar 55 acciones concretas, promovidas por diversos entes, que van desde la concientización poblacional hasta la implementación de herramientas puntuales de gestión posconsumo. En virtud de los resultados obtenidos a partir de iniciativas emprendidas por organizaciones civiles y profesionales, se denota que para resolver esta problemática se requiere el compromiso político por parte de autoridades gubernamentales para instaurar políticas nacionales que, al ser acatadas, produzcan beneficios que perduren en el tiempo. Rev. Salud ambient. 15 de diciembre de 2023.

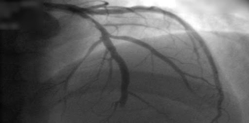
Intervención coronaria percutánea en angina crónica estable: un ensayo clínico doble ciego

21 diciembre 2023

En pacientes con angina estable que recibían poca o ninguna medicación antianginosa y tenían evidencia objetiva de isquemia, la intervención coronaria percutánea resultó en una puntuación de síntomas de angina más baja (una media de 2,7 puntos menos en una escala de 79 puntos) que un procedimiento con placebo, lo que indica un mejor estado de salud con respecto a la angina. New England Journal of Medicine, 21 de diciembre de 2023.

Definición del “valor terapéutico” de los medicamentos: revisión panorámica

20 diciembre 2023

Se han desarrollado múltiples determinantes para definir el valor terapéutico de los medicamentos, la mayoría de ellos centrados en trastornos oncológicos y enfermedades raras. Teniendo en cuenta la relevancia del valor de los medicamentos para guiar a los pacientes y médicos en la toma de decisiones, así como a los responsables políticos en las decisiones de asignación de recursos, se necesita un desarrollo de factores basados ​​en evidencia para la definición del valor terapéutico de los medicamentos en todas las áreas terapéuticas. BMJ Open, 18 de diciembre de 2023

Acoso escolar o bullying en niños y adolescentes con enfermedades psiquiátricas y del neurodesarrollo

20 diciembre 2023

Esta revisión sistemática y  metanálisis subraya la participación en el acoso como un factor de riesgo prevalente en jóvenes con afecciones psiquiátricas o del neurodesarrollo que podría aumentar la carga de su enfermedad a través de sus efectos negativos en la salud mental. Se justifican intervenciones dirigidas a estas poblaciones vulnerables para mejorar su salud mental y su futura integración social. Lancet Child Adolesc Health, 15 de diciembre de 2023

Categorias

Etiquetas