Farmacología

Limitaciones del rastreo cardiovascular: resultados del estudio danés DANCAVAS

12 diciembre 2022

En un ensayo clínico con hombres de 65 a 74 años realizado en Dinamarca se comparó la invitación a un rastreo cardiovascular (incluyendo laboratorio para dislipemia y diabetes, control de presión arterial y tomografía computada sin contraste gatillada por el electrocardiograma) con un grupo control al que no se le ofreció el tamizaje. Después de 5 años de seguimiento, la invitación al rastreo no redujo significativamente la incidencia de muerte por cualquier causa, aunque disminuyeron algunos resultados secundarios, como el ACV.  New England Journal of Medicine, 13 de octubre de 2022.

Avances y desafíos en la meningitis bacteriana. Revisión

07 diciembre 2022

La meningitis bacteriana afecta aproximadamente de 0,9 por 100 000 personas a 80 por 100 000 personas por año y tiene una tasa de mortalidad de hasta el 54 %. El tratamiento de primera línea es el tratamiento inmediato con antibióticos intravenosos empíricos y dexametasona adyuvante. JAMA. 6 de diciembre  de 2022

Asociación entre consumo de alimentos ultraprocesados ​​y deterioro cognitivo

07 diciembre 2022

Un mayor porcentaje de consumo diario de energía de alimentos ultraprocesados ​​se asoció con deterioro cognitivo entre adultos de una muestra étnicamente diversa. Estos hallazgos respaldan las recomendaciones actuales de salud pública sobre la limitación del consumo de alimentos ultraprocesados ​​debido a su daño potencial a la función cognitiva. JAMA Neurol.  5 de diciembre de 2022

Respuesta al placebo y atención de los medios en ensayos clínicos aleatorizados que evalúan terapias para el dolor basadas en cannabis

07 diciembre 2022

esta revisión sistemática y metanálisis concluye que el placebo contribuye significativamente a la reducción del dolor observada en los ensayos clínicos de cannabinoides. La atención positiva de los medios y la amplia difusión pueden mantener altas expectativas y dar forma a las respuestas de placebo en ensayos futuros, lo que tiene el potencial de afectar el resultado de los ensayos clínicos, las decisiones regulatorias, la práctica clínica y, en última instancia, el acceso de los pacientes a los cannabinoides para aliviar el dolor. JAMA Netw Open 28 de noviembre  de 2022

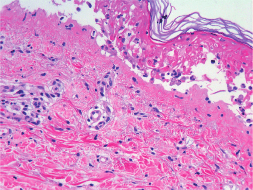
Necrólisis Epidérmica Tóxica: Revisión Clínica y Terapéutica

07 diciembre 2022

En general, su etiología y presentación son consensuadas, definiéndose como una necrólisis generalizada de la epidermis que se produce como una respuesta inmune descontrolada a un fármaco específico o a uno de sus metabolitos, destacando el cotrimoxazol y el alopurinol como los más importantes. Esta necrólisis conduce a un desprendimiento masivo de la capa epidérmica de la piel, con mayor incidencia en el torso, miembros superiores y cara. Eur. Burn J. 8 agosto 2022

Categorias

Etiquetas