Farmacología

Agonistas del receptor de GLP-1 e incidencia de diferentes tipos de cáncer asociado con la obesidad en pacientes con diabetes tipo 2

08 julio 2024

Este estudio de cohorte de más de 1,6 millones de pacientes con diabetes tipo 2 que no tenían un diagnóstico previo de cáncer encontró que los pacientes ratados con agonistas del receptor de GLP-1 tenían una reducción significativa del riesgo en 10 de 13 cánceres en comparación con los tratados con insulina, incluidos el cáncer esofágico, colorrectal, endometrial, de vesícula biliar, de riñón, hepático, de ovario y páncreas, así como meningioma y mieloma múltiple. No se encontró ninguna disminución en el riesgo de cáncer cuando se comparaban los AR-GLP-1   con el tratamiento con metformina. JAMA Network Open, 5 de julio de 2024.

Uso de antidepresivos y benzodiazepinas en el embarazo y riesgo asociado de malformaciones congénitas

08 julio 2024

Los hallazgos de este estudio sugieren que el uso concomitante de antidepresivos y benzodiazepinas durante el primer trimestre no se asocia con un aumento sustancial del riesgo para la mayoría de los subtipos de malformaciones. Sin embargo, considerando otros posibles efectos adversos del uso concomitante de ambos medicamentos, una evaluación exhaustiva de los riesgos y beneficios es crucial para la toma de decisiones clínicas. The Lancet Psychiatry, 2 de julio de 2024.

Farmacocinética de los antibióticos en derrames pleurales infectados.

08 julio 2024

En este estudio sobre farmacocinética de antibióticos realizado en pacientes con derrames pleurales infectados se encontró que los antibióticos de uso común, como amoxicilina, metronidazol, piperacilina-tazobactam y clindamicina, alcanzan niveles en el líquido pleural equivalentes a los de la sangre y por encima de la CIM para las bacterias que se sabe que causan infección pleural. La preocupación sobre la penetración de antibióticos de uso común en el espacio pleural infectado (excepto por la trimetroprima)  son infundadas. Thorax, 4 de julio de 2024.

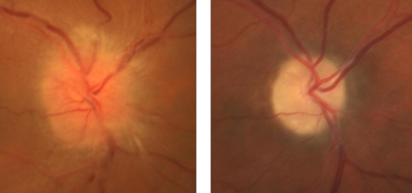
Riesgo de neuropatía oftálmica isquémica anterior no arterítica en pacientes que reciben semaglutida

08 julio 2024

Este estudio de cohorte reveló un mayor riesgo de neuropatía óptica isquémica anterior no arterítica en pacientes a los que se les prescribió semaglutida en comparación con los pacientes a los que se les recetaron otros medicamentos para la diabetes o la obesidad. Se requieren con urgencia nuevos estudios para ver si se replican estos resultados y evaluar la causalidad. JAMA Ophthalmology, 3 de julio de 2024.

Manejo de los riesgos asociados con la clozapina

08 julio 2024

Los pacientes a los que se les receta clozapina pueden interactuar con todos los sectores dentro del sistema de salud y el uso de clozapina afectará las decisiones clínicas tomadas en entornos diferentes de donde se prescribe y suministra. Por lo tanto, todos los profesionales sanitarios deben ser conscientes de los riesgos y de cómo gestionarlos. El artículo revisa los cuidados a tener en cada ámbito de atención de la salud con el paciente que recibe clozapina. Specialist Pharmacy Service, 28 de junio de 2024.

Categorias

Etiquetas