Farmacología

Uso de pioglitazona en Australia y el Reino Unido siguiendo los avisos de seguridad de medicamentos sobre el riesgo de cáncer de vejiga

21 octubre 2022

Los resultados de este estudio de series de tiempo interrumpidas indican que las diferencias en los avisos de seguridad de Australia y el Reino Unido dieron como resultado reducciones sustanciales en el uso de pioglitazona a nivel de población en ambos países; sin embargo, no se observaron diferencias por subgrupos.  Pharmacoepidemiol Drug Saf. octubre de 2022

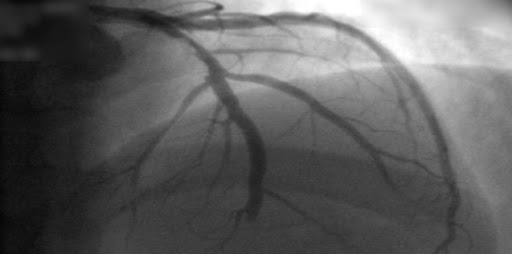
Estudios coronarios en la cardiopatía isquémica estable: ¿TC o cateterismo?

20 octubre 2022

Este estudio no encontró diferencia entre mujeres y varones en el beneficio del uso de la tomografía computarizada (TC) en lugar de la angiografía coronaria invasiva como prueba diagnóstica inicial para el manejo del dolor torácico estable en pacientes con una probabilidad previa a la prueba intermedia de enfermedad arterial coronaria. La TC inicial se asoció con menos complicaciones importantes relacionadas con el procedimiento en las mujeres y una frecuencia más baja del compuesto MACE expandido en los hombres.British Medical Journal, 19 de octubre de 2022.

Incentivos económicos para dejar de fumar durante el embarazo

20 octubre 2022

La oferta de hasta 400 libras esterlinas de incentivos financieros para dejar de fumar durante el embarazo, como complemento de los servicios habituales para dejar de fumar en el Reino Unido, llevó el abandono del tabaco del 12% al 27% de las participantes. La mayoría de las participantes recayó luego del nacimiento. British Medical Journal, 19 de octubre de 2022.

Asociación de inversiones en investigación y desarrollo con costos de tratamiento para nuevos medicamentos aprobados de 2009 a 2018

20 octubre 2022

Este estudio se pregunto si existe una relación entre cuánto gastan las compañías farmacéuticas en investigación y desarrollo de nuevos medicamentos y cuánto cobran por estos medicamentos. Los resultados  indicaron que las inversiones en investigación y desarrollo no explicaron la variación en los precios de lista de los 60 medicamentos de esta muestra. Las compañías farmacéuticas deberían poner a disposición más datos para respaldar sus afirmaciones de que se necesitan precios altos de los medicamentos para recuperar las inversiones en investigación y desarrollo, si van a continuar usando este argumento para justificar los precios altos. JAMA Netw, Open 26 de septiembre  de 2022

La Caja de Pandora de la Síntesis de la Evidencia y el caso de una Taxonomía viva de Síntesis de Evidencia

20 octubre 2022

Este artículo plantea las dificultades y desafíos frente a la “plétora de enfoques de síntesis de evidencia superpuestos y revisiones duplicadas, redundantes y de mala calidad”. Señalan la preocupación por este estado actual de cosas dentro del campo de la síntesis de evidencia, aunque aún no hemos llegado al punto de no retorno. Como tal, este artículo analiza algunas de las trampas asociadas con un conjunto de herramientas en constante expansión para la síntesis de evidencia (similar a la apertura de la caja de Pandora) y analiza posibles soluciones para mejorar la cohesión de la síntesis de evidencia. BMJ Evidence-Based Medicine, 14 de octubre de 2022

Categorias

Etiquetas