Farmacología

Intervenciones no farmacéuticas, vacunación y la variante delta del SARS-CoV-2 en Inglaterra: un estudio de modelado matemático

28 octubre 2021

Nuestros hallazgos muestran que el riesgo de una gran ola de ingresos hospitalarios por COVID-19 como resultado de levantar las INF se puede mitigar sustancialmente si el momento de relajación de las INF se equilibra cuidadosamente con la cobertura de vacunación. Sin embargo, con la variante delta, es posible que no sea posible levantar completamente las INF sin una tercera ola de ingresos hospitalarios y muertes, incluso si la cobertura de vacunación es alta. Las variantes de interés, su transmisibilidad, la absorción de la vacuna y la efectividad de la vacuna deben monitorearse cuidadosamente a medida que los países relajan las medidas de control de la pandemia. Lancet, 27 de octubre de 2021

Un nuevo anticuerpo monoclonal para pacientes ambulatorios con Covid-19

28 octubre 2021

En pacientes con Covid-19 leve a moderado y alto riesgo de progresión a formas severas, una infusión única de sotrovimab redujo el riesgo de internación o muerte en el mes siguiente. No se identificaron problemas de seguridad. New England Journal of Medicine, 27 de octubre de 2021.

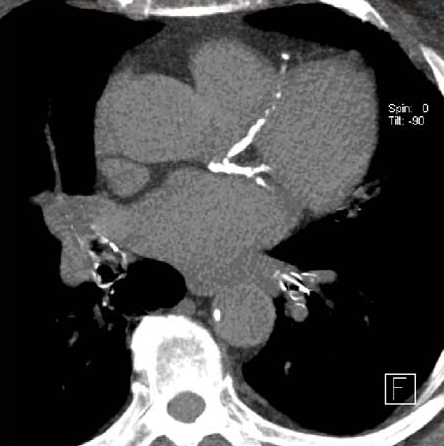
Valor de la ausencia de calcio coronario para descartar obstrucción significativa

28 octubre 2021

Un puntaje de 0 en el calcio coronario medido por angiotomografía computada reduce sustancialmente el riesgo de enfermedad coronaria en los adultos mayores, pero en los pacientes más jóvenes se halló que una proporción considerable de la coronariopatía obstructiva ocurre en aquellos sin calcio coronario. JAMA Cardiology, 27 de octubre de 2021.

Efecto del tratamiento temprano con fluvoxamina sobre el riesgo de atención de emergencia y hospitalización entre pacientes con COVID-19: ensayo TOGETHER

28 octubre 2021

El tratamiento con fluvoxamina (100 mg dos veces al día durante 10 días) entre pacientes ambulatorios de alto riesgo con diagnóstico temprano de COVID-19 redujo la necesidad de hospitalización definida como retención en un entorno de emergencia de COVID-19 o derivación a un hospital terciario. Lancet Glob Health. 27 de octubre de 2021

Reacciones adversas a medicamentos inducidas por cotrimoxazol: todavía muchos daños prevenibles

27 octubre 2021

En un contexto de creciente interés por este antibiótico para tratar infecciones por bacterias resistentes, el médico debe ser más consciente de las posibles consecuencias de una prescripción inadecuada de cotrimoxazol y reservar su uso cuando no haya alternativa y bajo un seguimiento adecuado. Fundam Clin Pharmacol, 26 de octubre de 2021

Categorias

Etiquetas